クリニック案内
クリニック案内
| 診療時間 | 月 | 火 | 水 | 木 | 金 | 土 | |
|---|---|---|---|---|---|---|---|
| 乳腺外科 | 午前 | 天野 | 松谷 天野(第1.3) |
平方 | 天野 松谷 |
天野 |
|
| 午後 | 天野 | 松谷 (~16:30) |
有澤 | 天野 松谷 (~16:30) |
天野 | 平方 | |
| 甲状腺内科 | 午前 | 天野 | 天野(第1.3) |
天野 松谷 |
天野 |
|
|
| 午後 | 天野 | 松谷 (~16:30) |
天野 松谷 (~16:30) |
天野 | |||
| 脳神経外科 | 午前 | 佐々木 | 佐々木 | 佐々木 | 佐々木 | 佐々木 | 松居 |
| 午後 | 佐々木 | 佐々木 | 佐々木 | 佐々木 | 佐々木 | 松居 | |
| 婦人科 | 午前 | 吉田 | 吉田 | 吉田 | 中里 | 中里 | 吉田 |
| 午後 | 吉田 | 吉田 | 吉田 | 中里 | 中里 | 吉田 | |
| 泌尿器科 | 午前 | 平井 | 非常勤医師 (男性) |
||||
| 午後 | 平井 | ||||||
| 遺伝外来 | 午前 | 赤木 (第1.3) |
|||||
| 肝胆膵内科 | 午前 | 田村 (第2.4) |
|||||
TEL.048-783-3183
| 診療時間 | 月 | 火 | 水 | 木 | 金 | 土 | 日 |
|---|---|---|---|---|---|---|---|
| 09:00-12:30 | ● | ● | ● | ● | ● | ● | / |
| 14:30-17:30 | ● | ● | ● | ● | ● | ● | / |
休診日:日曜・祝日
【受付】午前/8:45〜12:00、午後/14:15〜17:00
利用可能なお支払い方法
利用可能電子マネー
利用可能クレジットカード






















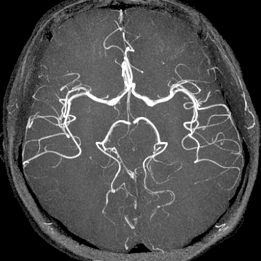
様々な体格への適応や、検査環境の向上を目的として需要が高まるワイドボア(大口径)MRI。従来は開口経の広いワイドボアと撮像能力の高性能化を両立することは困難でしたが、新技術の構築により実現可能となりました。※オープン型MRIとは異なります
今までの1.5テスラのMRIと比較して撮影してくる画像情報が多いため診断能力が高いというメリットがあります。このため、結果として少ない時間で正確な診断が下せるようになっています。
また、従来のMRIより音が静かです。
GE社の最新鋭モデルです。
※MRIの検査について体内金属の詳細が不明な場合は、後日の検査とさせていただく可能性がございますのでご了承ください。

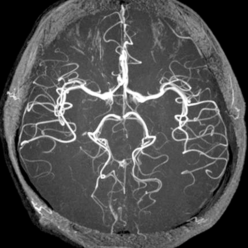
1.5テスラ

3.0テスラ
1.5Tでは腫瘍が一つしか見られないが、3.0Tでは更に3つ描出された症例

1.5テスラ

3.0テスラ
不安・痛みの低減
今回導入した最新のマンモグラフィー装置は、被験者の不安を少しでも低減するような丸みをおびた優しいデザインが採用されています。
また、一般的にマンモグラフィー検査は、とても強い痛みを伴う検査と思われていますが、こちらの装置は不必要な痛みを軽減する機能を備えています。乳房を圧迫板ではさむ際、乳房の厚みがこれ以上変化しないことを探知すると、最適な位置で自動停止します。
より優しい痛みの少ない検査をしていただけます。
低被ばく
X線を画像化するフラットディテクタには、マンモグラフィーに最適な特性を持つa-Se(アモルファスセレン)という素材を使用するとともに、より高い低被ばくと高画質を実現する、X線から直接デジタル画像信号へ変換する方式を採用しています。
また、X線管の陽極に二つの素材(モリブデン、タングステン)を搭載して、患者様の乳房の厚さや乳腺の密度に応じて変更できるので、コントラストの高い画像を維持しつつ被ばく線量を抑えた検査が可能です。
高画質と被ばく低減を両立した装置です。
検出能の高さ
乳腺密度の高い日本人女性の乳房に適した画像再構成パラメータを備えています。
乳房の状態をより診断しやすい画像をご提供します。
担当技師について
当院では、女性技師が担当しております。
検診マンモグラフィ撮影認定放射線技師も在院しております。
全日、女性技師がおりますので安心してマンモグラフィ検査を受けることができます。

当院は、マンモグラフィ検診施設画像認定を取得しました。
この認定制度は、「日本乳がん検診精度管理中央機構」がマンモグラフィ検診の精度維持・向上を目的として、その施設の検査装置や撮影したX線写真、撮影に要したX線量などを総合的に判断し、必要な基準を満たした施設のみを認定しているものです。
患者様には、当院で安心してマンモグラフィ検診を受けていただきたいと考えております。
施設認定証発行番号:第8328号
認定日:2020年9月1日
関連ページ:特定非営利活動法人 日本乳がん検診精度管理中央機構

日本乳癌学会関連施設認定証
当院は、一般社団法人日本乳癌学会の認定医・専門医制度規則に基づいた関連施設として認定を受けました。
認定番号:第3101-01号
認定日:2021年1月
関連ページ:一般社団法人日本乳癌学会ホームページ

撮影部
アームレスト
圧迫自動減圧制御機能
「Comfort Comp“なごむね”」
ボタンを複数配置し
アクセスしやすく
圧迫レバー
患者情報・撮影情報の表示
Intelligent AECでX線量を調整
制御ユニット・
ジェネレータを一体化
1shotファントム(オプション)・
品質管理ソフト

メタボリックシンドローム(内蔵脂肪症候群)と深い関係がある動脈硬化は自覚症状がほとんどなく、突然命にかかわる心筋梗塞や脳梗塞の発病につながるケースが少なくありません。
動脈硬化をチェックする手立てとして頚動脈エコー検査が注目されています。
動脈硬化の進展に伴って肥厚することから、動脈硬化性ハイリスク患者のスクリーニングおよび脂質異常症、高血圧症、糖尿病、危険因子が複合したメタボリックシンドローム、喫煙者、等の生活習慣病における治療効果の指標とされています。
ACUSON S2000では、動脈の健康状態を評価するために開発された定量化アプリケーションにより、内膜中膜複合体やプラークの計測が容易に行えます。
その厚さをカラーマッピングすることにより、視覚的に厚みを認識しやすくなります。

より鮮明により正確に、高画質イメージが診断をサポート
コニカミノルタの画像技術や、高分解能とフレームレートを両立する新技術「iXRET」により、鮮明で高画質なBモード画像と微細な血流画像を提供します。




TOP